Fehlstellungsadaptierte Therapie des erworbenen Plattfußes
Autor:
Dr. Florian Gruber
I. Orthopädische Abteilung, Herz-Jesu Krankenhaus, Wien
E-Mail: florian.gruber@kh-herzjesu.at
Die operative Therapie des Pes planovalgus stellt aufgrund der komplexen Pathobiomechanik weiterhin eine große Herausforderung dar. Das gemeinsame Ziel aller publizierten Klassifikationen bleibt die reproduzierbare Definition sämtlicher Teilaspekte dieser komplexen Fehlstellung und eine daraus ableitbare Therapie, die die Korrektur aller beteiligten Pathologien vom Vorfuß bis zur Wadenmuskulatur beinhaltet.
Die erworbene Plattfußdeformität (Pes planovalgus, „Adult Acquired Flat Foot“, AAFD) ist eine komplexe degenerative Erkrankung, die durch pathologische Veränderungen der Sehne des Musculus tibialis posterior, des Spring-Ligament-Komplexes, des Deltabandes und anderer dynamischer und statischer Stabilisatoren des Fußes verursacht ist.1
Die Planovalgus-Deformität ist durch Fehlstellungen im Bereich des Vor- , Mittel- und Rückfußes, des Sprunggelenkes und des Gastrocnemius-Soleus-Komplexes gekennzeichnet. Neben der Valgusfehlstellung der Ferse und der medialen Abflachung des Längsgewölbes können auch eine Hypermobilität der medialen Säule, eine Verkürzung des Gastrocnemius-Soleus-Komplexes und eine Vorfußabduktion und -supination vorliegen.
Jede dieser Teilpathologien kann flexibel oder rigide sein, wonach die konservative oder operative Therapie festgelegt wird.
Diagnose
Klinik
Auch wenn der erworbene Plattfuß häufig schon durch Anamnese und Inspektion diagnostiziert werden kann, kommt es immer wieder zu verspäteter Diagnosestellung und verzögerter Einleitung einer stadiengerechten Therapie. Die genaue klinische Untersuchung des Fußes am entkleideten Patienten gibt Aufschluss über das Ausmaß und die Qualität der einzelnen Komponenten der Fehlstellung. Bei der Inspektion im Stand werden die Beinachse, die Valgisierung der Calcaneusachse unter Belastung, die Abflachung des medialen Gewölbes sowie die Abduktion des Vorfußes (Abduktionsknick im Bereich der medialen Säule, „too many toes sign“) beurteilt.
Die Funktion der Tibialis-posterior-Sehne kann durch den einbeinigen Zehenstand („Single-heel-rise“-Test) evaluiert werden (cave: Differenzialdiagnose rigider Plattfuß bei Coalitio tarsi). Falsch negative Befunde können bei jüngeren, muskelstarken Patienten auftreten, die die Insuffizienz des M. tibialis posterior durch den Gastrocnemius-Soleus-Komplex und die Kraft des M. flexor hallucis longus kompensieren können.
Am herabhängenden Bein prüft der Untersucher die Mobilität und eventuelle Schmerzhaftigkeit der Fehlstellung auf allen Ebenen: Sprunggelenk (OSG), Subtalargelenk (USG), Talonaviculargelenk (TN), Naviculocuneiforme(NC)- und Tarsometatarsal(TMT)-Gelenk.
Die Kraft und Schmerzhaftigkeit der Tibialis-posterior-Sehne wird durch aktive Adduktion des Vorfußes gegen Widerstand im Seitenvergleich beurteilt.
Schließlich wird die valgische Rückfußachse manuell korrigiert und in dieser Position der Vorfuß auf eine flexible oder rigide Supinationsstellung und der Gastrocnemius-Soleus-Komplex auf eine eventuelle Verkürzung hin untersucht.
Bildgebung2
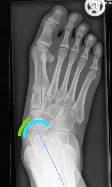
Abb. 1: Präoperativ: blaue Linie = Talus-MT1-Winkel; gebogene Linien: „talar head uncoverage“
Die Röntgenaufnahmen des Fußes und des oberen Sprunggelenks im dorsoplantaren (d.p.) und seitlichen Strahlengang erfolgen am belasteten Bein, um die Fehlstellung in ihrem vollen Ausmaß zu erfassen. Zusätzlich wird für die nativradiologische Abklärung eine Rückfußaufnahme nach Saltzman durchgeführt, in der die Valgisierung des Fersenbeines gegenüber der Tibiaachse dargestellt wird.
Die d.p. Aufnahme zeigt das Ausmaß der Abduktion des Vorfußes, die talonaviculare Überdeckung („talar head uncoverage“, Abb. 1).3 Degenerative Veränderungen der einzelnen Gelenke werden beurteilt.
Auf der seitlichen Aufnahme sind die Abflachung des Längsgewölbes und die Lokalisation der gegebenenfalls vorliegenden Instabilität der medialen Säule zu erkennen (Talus-Metatarsale1-Winkel = „Meary’s angle“ 0°). Auch ein Metatarsus primus elevatus als Hinweis auf eine Supination des Vorfußes kann vorliegen (Abb. 2).
Abb. 2: Fuß seitlich, stehend: Talus-MT1-Winkel („Meary’s angle“), „Plantar Gapping“ bei TMT1-Instabilität
In der MRT lassen sich Veränderungen der Tibialis-posterior-Sehne (PTT) und andere Weichteile wie das Spring-Ligament oder das Deltaband darstellen. Abhängig vom Grad der PTT-Schädigung zeigen sich intratendinöse Veränderungen als Zeichen von Tendinose oder longitudinale Risse bis hin zu kompletten Querrupturen. Eine Verdickung der Sehne und ein hyperintenses Signalverhalten sind auch in frühen Stadien häufig vorzufinden. Differenzialdiagnostisch sind prominente akzessorische Knochen, wie ein Os tibiale externum, oder Coalitiones tarsi auszuschließen. Letztere lassen sich auch bei fibröser Verbindung in der MRT darstellen.
Klassifikationen
Im Jahr 1989 publizierten Johnson und Strom ein dreistufiges Klassifizierungssystem für die Dysfunktion der Tibialis-posterior-Sehne, das auf dem Zustand der Sehne, der Position des Rückfußes und der Flexibilität der Deformität basiert (Tab. 1).4
Im Stadium I klagen die Patienten über Druckschmerz, Schwellung und Paratenonitis (mit oder ohne Tendinose) der PTT ohne Deformität. Die Behandlung ist typischerweise konservativ, kann aber ein offenes oder tendoskopisches Debridement mit Tenosynovektomie und eventuell eine medialisierende Calcaneusosteotomie umfassen.
Bei der Erkrankung im Stadium II haben die Patienten eine flexible Plattfußdeformität mit Insuffizienz der Tibialis-posterior-Sehne, abgeflachtem Fußgewölbe, Vorfußabduktion und Rückfußvalgus. Die chirurgische Behandlung beinhaltet in der Regel eine Form der Rekonstruktion der PTT, üblicherweise durch Transfer der Flexor-digitorum-longus(FDL)-Sehne, kombiniert mit einer Fersenbeinosteotomie, entweder einer Verlängerung der lateralen Säule und/oder einer medialen Verschiebeosteotomie des Tuber calcanei (Abb. 3).
Abb. 3: Calcaneusdoppelosteotomie: „lateral lengthening“ und medialisierende Verschiebeosteotomie zur Korrektur der Rückfußachse und Vorfußabduktion (Patient von Abbildung 1)
Ein eventuell bestehender Vorfußvarus (= Vorfußsupination) wird, je nachdem ob die Ursache in einer Instabilität oder in einer Arthrose liegt, mit einer plantarisierenden TMT-Arthrodese (modifizierter Lapidus) oder mit einer dorsalen „Opening wedge“-Osteotomie des Os cuneiforme mediale (= Cotton-Osteotomie) korrigiert.Schließlich wird die Verkürzung des Gastrocnemius-Soleus-Komplexes und der Verlust der Dorsalextension im OSG bei korrigiertem Rückfuß beurteilt und bei Bedarf mit einer Verlängerung der Achillessehne oder der Gastrocnemiusaponeurose korrigiert. Zusätzliche Verfahren, wie die Rekonstruktion des Spring-Ligaments, werden bei Bedarf ebenfalls im gleichen Eingriff durchgeführt.
Die Erkrankung im Stadium III ist gekennzeichnet durch eine fixierte Rückfußvalgusdeformität, die oft von einem fixierten kompensatorischen Vorfußvarus begleitet wird. Da die Fehlstellung bei einer Erkrankung im Stadium III definitionsgemäß nicht korrigierbar ist, besteht die chirurgische Behandlung im Allgemeinen aus einer modifizierten Triple-Arthrodese, mit oder ohne Versteifung des Calcaneocuboidgelenkes, und bei Bedarf aus weiteren Korrekturarthrodesen der medialen Säule.
Myerson hat 1997 ein viertes Stadium beschrieben, das eine Valgusfehlstellung des Sprunggelenks und eine damit verbundene Deltabandinsuffizienz mit oder ohne laterale tibiotalare Arthrose beinhaltet.5 Die Behandlung der Erkrankung im Stadium IV wird durch das Vorhandensein einer OSG-Arthrose und die Korrigierbarkeit der Fehlstellung bestimmt. Die Therapie besteht in der Regel aus einer Arthrodese oder Totalendoprothese bzw. einer Umstellungsosteotomie mit Deltabandrekonstruktion.
Von Bluman et al. wurde 2007 eine Weiterentwicklung der 4-stufigen Einteilung publiziert, bei der die einzelnen Aspekte der Plattfußfehlstellung am Vor-, Mittel- und Rückfuß berücksichtigt und therapeutische Konsequenzen abgeleitet werden.6
Neue Nomenklatur – neue Klassifikation
2020 schließlich hat eine Konsensusgruppe der American Orthopaedic Foot & Ankle Society (AOFAS) eine neue Nomenklatur und Klassifikation präsentiert, um der Komplexität des Krankheitsbildes gerecht zu werden.7 Sie benannte die Fehlstellung in „Progressive Collapsing Foot Deformity“ (PCFD) um und beschreibt eine dreidimensionale, flexible oder rigide Deformität mit unterschiedlichen Graden von Rückfußvalgus, Vorfußabduktion und Mittelfußvarus, peritalare Subluxation und Sprunggelenksbeteiligung.
Die neue Klassifikation soll eine klare klinische Stadieneinteilung mit therapeutischen Konsequenzen ermöglichen. Ob und wie schnell die neue Bezeichnung und Einteilung Anwendung in der fußchirurgischen Praxis und Wissenschaft finden, werden die nächsten Jahre zeigen.
Literatur:
1 Frank D et al.: Die Tibialis-posterior-Insuffizienz. OUP 2019, 8: 68-75 2 Arbab D et al.: Der erworbene Plattfuß des Erwachsenen – Operative Therapie der flexiblen Deformität im frühen Stadium. Der Orthopäde 2020; 49(11): 954-61 3 Dohle J: Gelenkerhaltende operative Korrektur der fortgeschrittenen flexiblen Planovalgusdeformität des erwachsenen Fußes. Der Orthopäde 2020; 49: 976-84 4 Johnson KA, Strom DE: Tibialis posterior tendon dysfunction. Clin Orthop Relat Res 1989; 239: 196-206 5 Myerson MS: Adult acquired flatfoot deformity: treatment of dysfunction of the posterior tibial tendon. Instr Couse Lect 1997; 46: 393-405 6 Bluman EM et al.: Posterior tibial tendon rupture: a refined classification system. Foot Ankle Clin 2007; 12(2): 233-49 7 Myerson MS et al.: Classification and nomenclature: Progressive Collapsing Foot Deformity. Foot Ankle Int 2020; 41(10): 1271-6
Das könnte Sie auch interessieren:
Angeborene Fehlstellungen des Unterschenkels
Kongenitale Deformitäten des Unterschenkels gehören zu den seltenen, aber medizinisch bedeutenden und operativ herausfordernden Diagnosen der Kinderorthopädie. Eine differenzierte ...
Einzeitiger und mehrzeitiger septischer Endoprothesenwechsel
Die periprothetische Infektion (PPI) stellt eine der gefürchtetsten Komplikationen im Bereich der Orthopädie und Traumatologie dar. Sie ist verbunden mit hohen Morbiditäts- und ...
Hochgradige ACG-Luxationen – wann konservativ behandeln, wann nicht?
Verletzungen des Akromioklavikulargelenks (ACG) gehören zu den häufigsten Schulterverletzungen bei jungen und aktiven Menschen, insbesondere auch aufgrund der zunehmenden Beliebtheit von ...